毛乌素沙地生物结皮中化能自养型微生物的筛选鉴定及其固碳能力评估 |
赵广伟, 牛向雯, 白存琳, 孟延荣, 张宇清, 秦树高, 佘维维, 冯薇 |
Screening, identification and carbon fixation capacity assessment of chemolithoautotrophic microorganisms in biological soil crusts of Mu Us Sandy Land |
Guangwei Zhao, Xiangwen Niu, Cunlin Bai, Yanrong Meng, Yuqing Zhang, Shugao Qin, Weiwei She, Wei Feng |
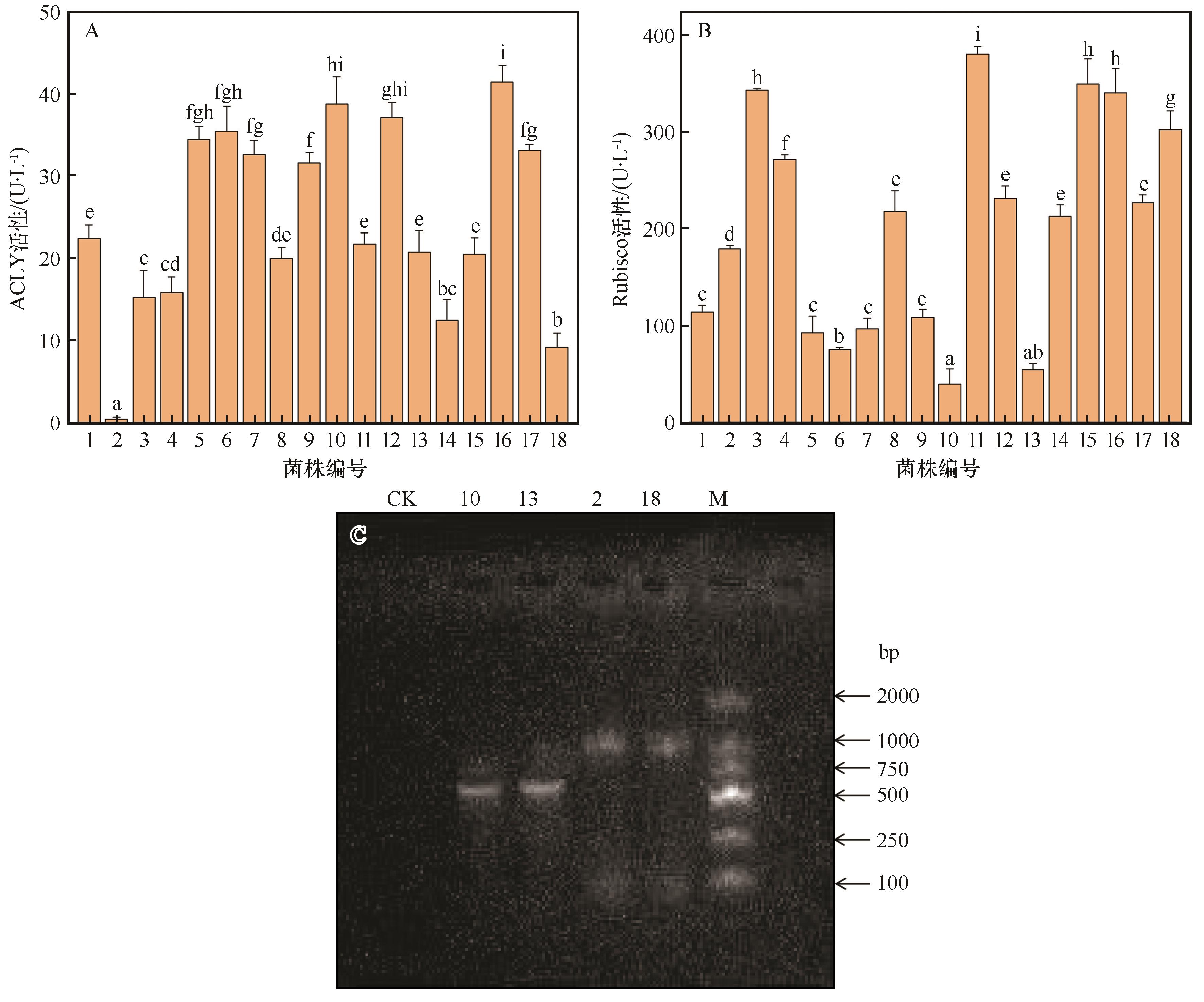
图5 固碳菌株固碳酶活性及功能基因验证图 |
Fig.5 Carbon sequestration enzyme activity and functional gene verification of carbon-fixing strains |
![]() |